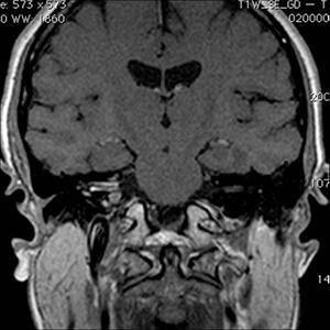
Ακουστικό νευρίνωμα δεξιά με πίεση επί του στελέχους
Προεγχειρητικές & Μετεγχειρητικές εικόνες
Προεγχειρητικές εικόνες μαγνητικής τομογραφίας ασθενούς 42 ετών με ακουστικό νευρίνωμα δεξιά με πίεση επί του στελέχους

Μετεγχειρητικές εικόνες του ασθενούς 3 μήνες μετά την επέμβαση και την ολική αφαίρεση του όγκου
