Υποτροπιάζουσα δισκοκήλη στο επίπεδο Ο4/5
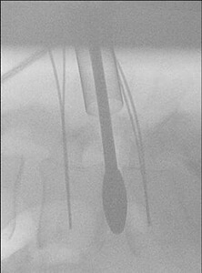
Προεγχειρητική τομογραφία & Διεγχειρητικές εικόνες
Προεγχειρητική τομογραφία της ελάχιστα επεμβατικής σπονδυλοδεσίας

Διεγχειριτικές ακτινογραφίες του ασθενούς μετά την επέμβαση.
Απώλεια αίματος κατά την επέμβαση 50 ml.
Συνολικός χρόνος επέμβασης 90 λεπτά.
Παραμονή στο νοσοκομείο 1 ημέρα.
