Ασθενής 38 ετών με γνωστή νόσο von Hippel Lindau και αιμαγγειοβλαστώματα του κεντρικού νευρικού συστήματος. Η ασθενής είχε χειρουργηθεί 4 φορές στο παρελθόν στις Ηνωμένες Πολιτείες. Προσήλθε λόγω προοδευτικής αστάθειας βάδισης, τετραπάρεσης και αδυναμίας κατάποσης.

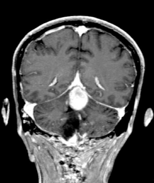
Ο έλεγχος με μαγνητική τομογραφία ανέδειξε ευμεγέθες αιμαγγειοβλάστωμα υποσκηνιδιακά με πίεση επί της 4ης κοιλίας καθώς και μια μικρότερη βλάβη στο στέλεχος συνοδευόμενη από κυστικό τμήμα με έντονα πιεστικά φαινόμενα.

Η ασθενής υπεβλήθη σε υποινιακή κρανιοτομία υπό νευροπαρακολούθηση και αφαίρεση και των δύο αιμαγγειοβλαστωμάτων. Η ασθενής αποσωληνώθηκε χωρίς πρόβλημα και μεταφέρθηκε σε κλινικά βελτιούμενη κατάσταση σε ειδικό κέντρο αποκατάστασης στο οποίο και παρέμεινε για 3 μήνες. Ο μετεγχειρητικός ακτινολογικός έλεγχος έδειξε ολική εξαίρεση των βλαβών.

Προεγχειρητική μαγνητική τομογραφία που απεικονίζει το ευμεγέθες αιμαγγειοβλάστωμα υποσκηνιδιακά και τα 2 μικρότερα στην περιοχή του στελέχους.

Μετεγχειρητική αξονική την ημέρα της επέμβασης που δείχνει την ολική εξαίρεση των βλαβών χωρίς στοιχεία αιμορραγίας.