Ασθενής 64 ετών με ελεύθερο ατομικό ιστορικό παρουσίασε αστάθεια βάδισης και ίλιγγο.

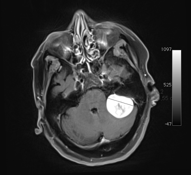
Η μαγνητική τομογραφία εγκεφάλου ανέδειξε εξεργασία στην περιοχή της αριστερής γεφυροπαρεγκεφαλιδικής γωνίας, ακτινολογικά συμβατή με μηνιγγίωμα.

Η ασθενής υπεβλήθη υπό γενική αναισθησία σε αριστερή υποινιακή κρανιοτομία και ολική αφαίρεση της βλάβης.

Η ασθενής αποσωληνώθηκε στην αίθουσα του χειρουργείου και μεταφέρθηκε σε άριστη κατάσταση σε δωμάτιο.

Εξήλθε την 4η μετεγχειρητική μέρα χωρίς πρόβλημα.

Η ιστολογική ταυτοποίηση ανέδειξε ευρήματα συμβατά με μηνιγγίωμα WHO I.

Παραμένει σε άριστη κλινική κατάσταση 2 χρόνια μετά την επέμβαση.